Tổn thương do sùi mào gà gây ra có thể xuất hiện ở hầu khắp các bộ phận trên cơ thể, đặc biệt xuất hiện rất nhiều ở miệng. Khi mắc sùi mào gà ở miệng, bệnh nhân sẽ có cảm giác đau tức, khó chịu, tác động đến sức khỏe và tinh thần của người nhiễm. Vậy bạn đã biết cách chữa sùi mào gà ở miệng tại nhà hiệu quả chưa?
Trong bài viết này, Phòng khám Ngoại khoa và Nam khoa Mega Med sẽ cùng bạn tìm hiểu những lưu ý về sùi mào gà ở miệng và những phương pháp điều trị khả thi.
CẢNH BÁO: Nội dung bài viết chứa hình ảnh y khoa nhạy cảm. Chúng tôi khuyến nghị chỉ xem với mục đích tìm hiểu thông tin sức khỏe và không phù hợp với trẻ em hoặc người dễ bị ảnh hưởng tâm lý. Việc tự chẩn đoán qua hình ảnh là không đủ, hãy luôn tham vấn ý kiến bác sĩ chuyên khoa để được chẩn đoán và điều trị chính xác nhất.
Nội dung
Sùi mào gà là một trong những bệnh xã hội thường lây truyền qua đường tình dục, gây ra bởi virus HPV. Mặc dù có hơn 200 loại virus HPV tồn tại, thường có khoảng 40 loại gây u nhú ở người, trong đó type 6 và type 11 có nguy cơ cao gây sùi mào gà hơn.
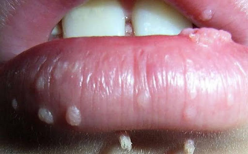
Khi bị sùi mào gà ở miệng, bệnh nhân sẽ mọc những nốt sùi ở ngoài/trong miệng. Các dạng sùi mào gà ở miệng là:

Sùi mào gà ở môi

Sùi mào gà ỏ lưỡi

Sùi mào gà ở cuống lưỡi
Bệnh nhân sẽ được chỉ định các loại thuốc để làm khô và làm rụng các u sùi. Các loại thuốc đặc trị sùi mào gà bao gồm Podophyllotoxin (podofilox), Imiquimod, Sinecatechins, Bichloroacetic acid (BCA), Trichloroacetic acid (TCA) nồng độ cao từ 80-90%.
Bác sĩ sẽ sử dụng tia Laser để tác động trực tiếp lên các vị trí sùi mào gà. Kỹ thuật này thường gây đau đớn và dễ để lại sẹo, không điều trị được dứt điểm.
Bác sĩ sẽ sử dụng sóng cao tần để cắt - đốt, loại bỏ triệt để tận gốc từng chân tổn thương sùi mào gà. Sau đó sẽ khâu tạo hình lại từng vị trí, khoảng 7 - 10 ngày sau vết thương sẽ hồi phục hoàn toàn, không để lại sẹo hay dấu tích can thiệp nào. Ngoài ra, nhiều ưu điểm vượt trội của phương pháp này là:
Trên đây là những kiến thức cơ bản nhưng hữu ích về sùi mào gà ở miệng. Qua bài viết trên, Phòng khám Ngoại khoa và Nam khoa Mega Med hy vọng sẽ mang lại những thông tin bổ ích cho độc giả về việc điều trị căn bệnh này, trả lại cuộc sống thường ngày cho người bệnh. Nếu bạn vẫn còn thắc mắc về quá trình thăm khám và phẫu thuật điều trị sùi mào gà ở miệng, hãy liên hệ với chúng tôi qua Hotline 0987869115 để được tư vấn và hẹn lịch thăm khám nhé.