Những sự thật về mụn rộp sinh dục nữ

28/06/2025 Google news

Bệnh Herpes sinh dục hay còn gọi là mụn rộp sinh dục là một trong những bệnh lây truyền qua đường tình dục phổ biến nhất, đặc biệt là với phái nữ. Tuy nhiên, nhiều chị em lại rất ngại chia sẻ về vấn đề này vì tính nhạy cảm của bệnh.

Vậy mụn rộp sinh dục nữ là gì? Nguyên nhân và dấu hiệu của bệnh lý? Phương pháp điều trị như thế nào? 

Mụn rộp sinh dục nữ là gì?

Mụn rộp sinh dục hay Herpes sinh dục là bệnh lây truyền qua đường tình dục do virus Herpes Simplex gây ra. Có 2 loại virus HSV chính là:

  • HSV-1: Thường gây ra mụn rộp ở miệng và môi, nhưng cũng có thể lây nhiễm ở vùng sinh dục.
  • HSV-2: Thường gây ra herpes sinh dục, ảnh hưởng đến vùng sinh dục, hậu môn hoặc các vùng lân cận.

Nguyên nhân gây ra mụn rộp sinh dục nữ

Mụn rộp sinh dục nữ có thể lây lan qua tiếp xúc da với người bệnh, thường do tiếp xúc trực tiếp hoặc quan hệ tình dục. Các hoạt động tình dục không xâm nhập như hôn, dạo đầu hoặc quan hệ không xâm nhập cũng có thể làm lây lan Herpes.

Virus HSV dễ lây nhất qua những mụn rộp hoặc vết loét, nhưng vẫn có khả năng lây lan khi không có triệu chứng.

Dấu hiệu thường gặp

Các triệu chứng mụn rộp sinh dục nữ phổ biến nhất là các vết loét trên bộ phận sinh dục hoặc vùng miệng. Tuy nhiên trong một số trường hợp, bệnh không có bất kỳ biểu hiện nào, nên người bệnh thường sẽ không biết mình mắc bệnh.

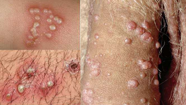
Hình ảnh mụn rộp sinh dục ở nữ

Đây là một số triệu chứng chung để nhận biết Herpes sinh dục:

  • Cảm thấy ngứa và rát ở khu vực nhiễm bệnh trước khi mụn nước xuất hiện.
  • Mụn rộp xuất hiện ở môi, miệng hoặc bất kỳ nơi nào có chứa virus gây bệnh.
  • Mụn nước vỡ hình thành vết loét hở và có dịch chảy.
  • Sau 1 tuần phát bệnh, tại vị trí loét sẽ xuất hiện một lớp vảy nhỏ khô lại.
  • Sưng tuyến bạch huyết, có tác dụng chống nhiễm trùng và viêm nhiễm trong cơ thể.
  • Đau đầu, đau nhức cơ thể thậm chí gây sốt.

Những triệu chứng đặc trưng có thể giúp bạn nhận biết Herpes ở nữ là:

  • Nữ giới mắc Herpes sinh dục, giai đoạn đầu sẽ bị sốt nhẹ, nhức đầu và nổi hạch. Triệu chứng này dễ khiến Herpes nhầm lẫn với bị cúm thông thường.
  • Sau đó các mụn nước sẽ xuất hiện ở vùng âm đạo, quanh hậu môn, bẹn, mông hoặc bên trong đùi. Mụn rộp còn có thể xuất hiện ở quanh vùng miệng.

Mụn rộp sinh dục ở vùng kín nữ

Biến chứng nguy hiểm của mụn rộp sinh dục nữ

Nếu không được điều trị kịp thời, bệnh lý này luôn tiềm ẩn nhiều biến chứng nguy hiểm như:

  • Tăng khả năng lây truyền HIV: Người nhiễm HSV-2 có khả năng nhiễm HIV cao gấp 3 lần so với người bình thường, và thậm chí có khả năng lây truyền HIV cho người khác. Về cơ bản, mụn rộp sinh dục nữ do HSV-2 là một trong những bệnh nhiễm trùng phổ biến nhất ở phụ nữ nhiễm HIV.
  • Các bệnh lý nghiêm trọng: Ví dụ như viêm màng não và nhiễm trùng lan tỏa (nhiễm HSV-2) hay viêm não và viêm giác mạc (nhiễm HSV-1).
  • Trẻ sơ sinh bị mụn rộp: Mụn rộp ở trẻ sơ sinh có thể xảy ra khi người mẹ bị nhiễm Herpes sinh dục khi đang mang thai. Herpes ở trẻ sơ sinh rất hiếm gặp, nhưng có thể dẫn đến khuyết tật về thần kinh hoặc tử vong.

Trẻ sơ sinh bị Herpes sinh dục

Phương pháp điều trị mụn rộp sinh dục nữ

Mang đặc điểm dễ lây nhiễm cho người khác và có những biến chứng nguy hiểm, việc điều trị mụn rộp sinh dục nữ sẽ bao gồm:

  • Chống bội nhiễm tại thương tổn.
  • Chống virus.
  • Tư vấn cho người bệnh về nguy cơ tái phát, đề phòng biến chứng và tránh lây nhiễm cho người lành.

Việc điều trị cần được tiến hành càng sớm càng tốt. Thuốc chống virus sẽ làm giảm triệu chứng toàn thân, hạn chế sự lan rộng của HSV tại chỗ. Bệnh nhân có thể được chỉ định sử dụng thuốc tùy theo trường hợp cụ thể:

  • Thuốc uống kháng virus: Bao gồm Acyclovir, Valacyclovir, hoặc Famciclovir. Thuốc uống kháng virus thường được chỉ định khi có triệu chứng nặng hoặc bị tái phát nhiều đợt. Thuốc giúp ức chế sự phát triển của virus, giảm triệu chứng và ngăn ngừa tái phát trong thời gian dài.
  • Thuốc bôi da: Bao gồm Acyclovir/Peciclovir dạng kem. Bạn sẽ thoa trực tiếp lên các vết loét để giảm triệu chứng và giúp vết loét nhanh lành hơn.

Bệnh mụn rộp sinh dục nữ là một trong những bệnh xã hội phổ biến nhất với phái nữ. Việc tìm hiểu thêm về bệnh lý này sẽ giúp chị em có cơ hội điều trị sớm hơn, tránh biến chứng nặng và lây nhiễm cho người khác. Để được ThS. BSCKI Trần Quốc Khánh - Bệnh viện Bạch Mai  khám và điều trị, bạn hãy liên hệ ngay qua Hotline 0987869115 hoặc Zalo để đặt lịch nhé!

ThS.Bs Trần Quốc Khánh đã có hơn 10 năm kinh nghiệm khám chữa bệnh Nam khoa. Ông hiện là thành viên của các tổ chức như Hội Y học Giới tính Thế giới (International Society for Sexual Medicine – ISSM) và Hội Nam khoa Hoa Kỳ (American Society of Andrology – ASA)…

Đặt hẹn trực tuyến
(Làm việc tất cả các ngày trong tuần, cả ngày thứ 7, Chủ nhật, Lễ Tết)

Đánh giá & nhận xét bài viết

0/5

0 đánh giá & nhận xét

5 

0 đánh giá

4 

0 đánh giá

3 

0 đánh giá

2 

0 đánh giá

1 

0 đánh giá

Bạn đánh giá sao bài viết này?

Đánh giá ngay

Hiện chưa có nhận xét nào. Hãy là người nhận xét đầu tiên

0987869115 Đặt lịch khám